Sweet Fred crossed the rainbow bridge in October 2025, but his memory continues to shine brightly in the hearts of everyone who loved him. Though his time with us was far too short, his story will forever remind us of the strength found in love and care.
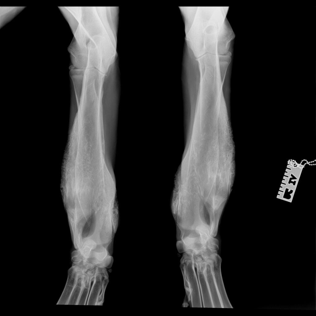
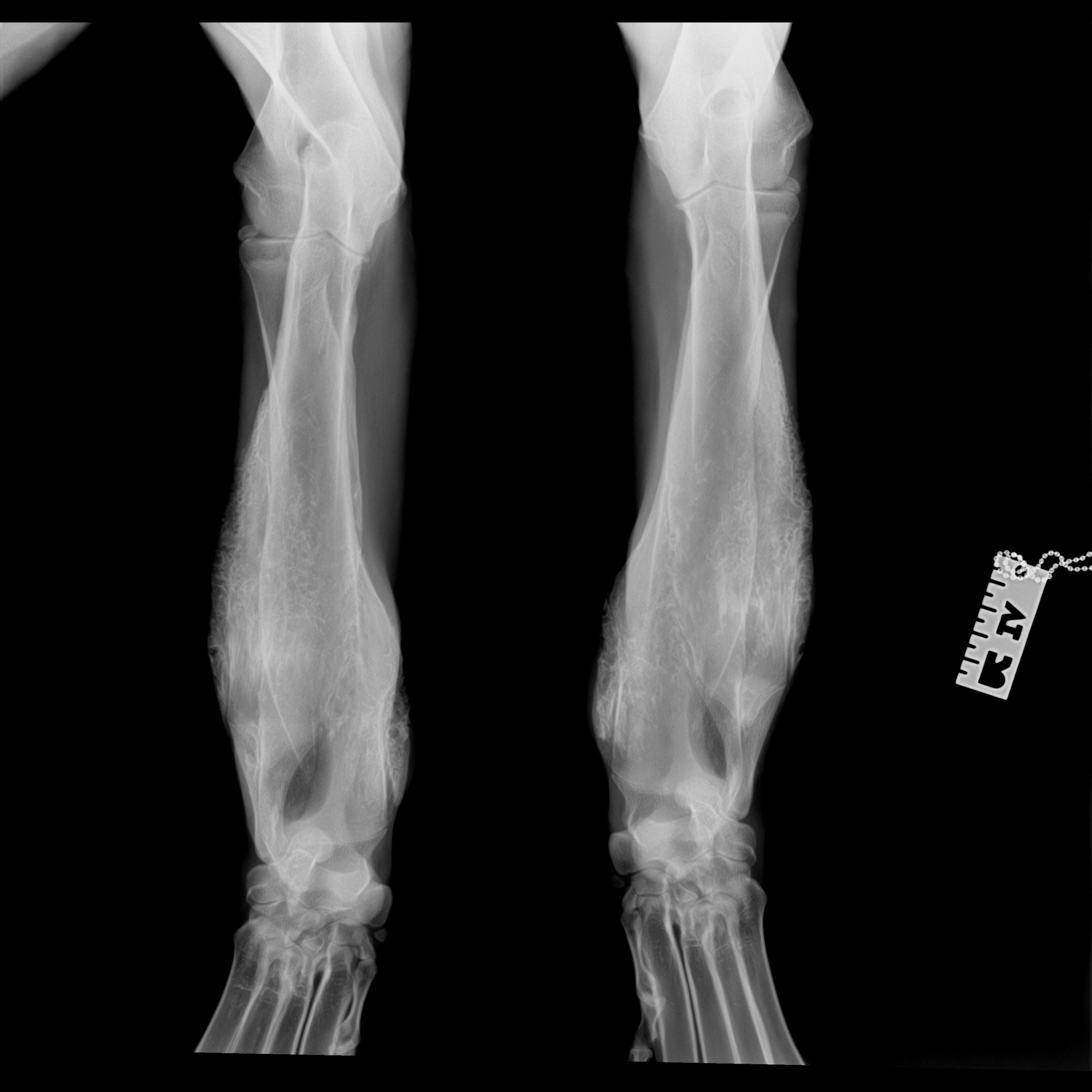
Meet Fred. We are estimating him to be about a year old (DOB 7/1/24). Fred came to us in extremely poor shape in part due to an uncommon disease, craniomandibular osteopathy (CMO). CMO caused extra bone growth in Fred skull and mandible as well as his front legs. He does have signs of CMO in other limbs as well however they are not as prolific as his skull/mandible and front legs.
Fred was vetted at The University of Florida and they confirmed his condition after a CT scan and full body radiographs.
At this time Fred remains in rescue due to the unknown outcome from CMO.






